Inkoopvoordeelregeling BCO Dental BV: MiYo Liquid Ceramic

MiYo Liquid Ceramic Systeem van Jensen Dental
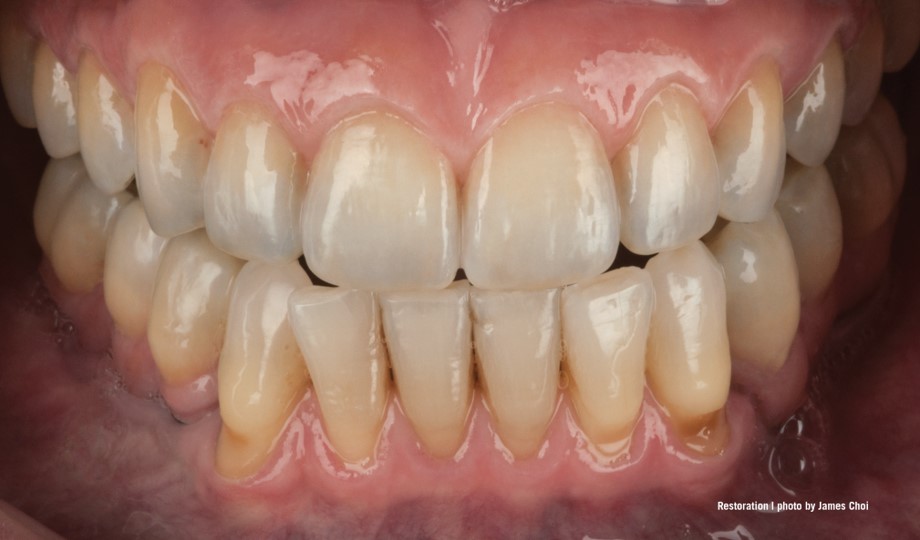
BCO Inkoopvoordeelregeling - Gelaagde esthetiek - monolithische inspanning
Bart Lambert, BCO dental
De populariteit van MiYO is enorm! Na de introductie van het keramiek in augustus 2020 door BCO dental bv zijn vele laboratoria enthousiast gebruiker geworden van het MiYO Liquid Ceramic System. Voor diegene die het systeem nog niet kennen, willen we u hier meer vertellen over het product en zijn mogelijkheden.

Yttria gestabiliseerd zirconia
Met de toenemende interesse in volkeramische restauraties en de introductie van de digitale tandtechniek heeft yttria gestabiliseerd zirconia zijn intrede gedaan. Dit materiaal heeft zich in het afgelopen decennium enorm ontwikkeld en wordt nu steeds vaker monolitisch ingezet. Hierdoor is de vraag naar een materiaal ontstaan dat ook in een hele dunne laag de natuurlijke diepte, fluorescentie en opalescentie na kan bootsen. Met het MiYO Liquid Ceramic systeem van de firma Jensen Dental heeft u een materiaal in handen dat aan deze vraag voldoet.
Jensen Dental biedt momenteel twee MiYO Liquid Ceramic systemen aan welke onafhankelijk van elkaar te bestellen zijn:
- MiYO voor tanden en kiezen en
- MiYO Pink voor gingiva.
Beide systemen vormen een uniek finishing systeem van opalescente en fluorescente pasta’s voor het creëren van structuur en individualisering op monolithische restauraties, zowel lithiumdisilicaat als zirkoniumoxide. Met MiYO kunt u eenvoudig en snel een zeer hoge esthetiek bereiken, die vergelijkbaar is met gelaagde restauraties.
Self-glazing pasta’s
MiYO Color bevat een breed gamma aan self-glazing pasta’s met gevarieerde niveaus van translucentie. Elke ontwikkeld om het natuurlijke element na te kunnen bootsen qua kleur, incisale transparantie, mamelons, scheurlijntjes en gingiva tinten.
Met MiYO Structure creëert u diepte, vitaliteit en textuur zoals bij natuurlijk glazuur en gingiva. De materiaaldikte is ongekend: 0,1mm - 0,2mm, de cut-back en /of CAD aanpassingen zijn daarom overbodig. Het is een ideaal systeem voor het finishen van full contour monolithische restauraties. Door de hoge stabiliteit van het materiaal, kunt u de structuur karakteristieken zeer eenvoudig, met een kwastje, in de pasta vormgeven. Dankzij de lage baktemperatuur blijven de oppervlakeigenschappen stabiel, zodat in slechts één of twee baksessies een voorspelbaar, esthetisch resultaat bereikt wordt.
MiYO voordelen:
+ Altijd een betrouwbaar resultaat
+ Gebruiksgemak
+ Economisch en tijdbesparend door een kort werkproces
+ MiYO Color met perfect aangepaste fluorescentie en opalescentie, voor contrast en diepte
+ MiYO Structure – unieke structuurpasta’s
+ Natuurlijke brekingsindex van MiYO Structure zichtbaar op monolithische restauraties al bij 0,1 laagdikte
+ Hoge kleurstabiliteit
+ Minimale krimp
+ Gedetailleerde esthetische resultaten, de vorm, het oppervlak en de structuur zijn al te
controleren voor het bakproces
MiYO en MiYO Pink zijn ontworpen voor:
- monolithisch zirkonium
- zircondioxide
- geperste zirkonium restauraties (alleen MiYO)
- lithiumdisilicaat
- PFC ( bijv. InSnc Zr)
- PFM ( bijv. InSync Mc)


Let op: Aanbieding is geldig tot 31 januari 2022
Het volledige MiYO assortiment is exclusief verkrijgbaar bij BCO dental bv, uw depot voor Tandheelkunde en Tandtechniek. Speciaal voor leden van de Branchevereniging Tandtechniek bieden wij bij bestelling van een MiYO kit, een MiYO mengpallet met 50% korting aan. Deze korting is geldig t/m 31 januari 2022.
Heeft u hierover vragen? Nog geenl lid? Neem dan contact op met het secretariaat van de Branchevereniging Tandtechniek via info@bvtandtechniek.nl of bel 085-87 69 768.












